Sharon, a 53 y/o writer asked her husband to, “Look at my thumb. The right thumb is bigger than the left.”
“Does it hurt?” ... “Not now, but after typing for a few hours at the computer, it becomes stiff and achy.”
Many months later, Sharon noticed small bumps on her finger joints. She ignored having difficulty turning the key on a door lock, trouble taking the lids off of jars and struggling, at times, to turn the doorknob to enter her apartment.
What finally forced her to visit a hand specialist happened at 2 o’clock in the morning? She was awakened with pain in the right thumb which was more swollen than usual. It was also red and painful to touch. Alarmingly, she couldn’t move the fingers in her right hand.
At the doctor’s office, the Physician’s Assistant (PA) asked, “How long was it before you regained movement in the right hand?”
“It took about six hours before I could move the first two fingers of my right hand. And by early afternoon, I was just barely able to move all of my fingers except for my thumb. And I couldn’t hold or grasp anything with my right hand for the rest of the day. It took two days before I could return to my work at the computer.”
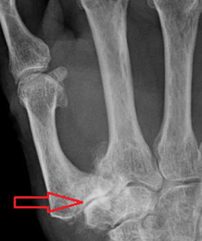
The PA said, “We need to get an X-ray of the right hand. After that the doctor will see you.”
The doctor entered the examining room, reviewed Sharon’s medical history, examined her, answered her questions and looked at the X-rays and said,
“You have arthritis of the thumb, also called osteoarthritis (OA). The problem is located where the bones of the thumb meet the wrist. The cartilage that’s normally found between the ends of these bones is disintegrating. When bone rubs bone, you can experience swelling in the area, pain and trouble moving the thumb.”
The doctor continued, “In your case, it’s in the early stages and I recommend we start off with physical therapy (PT.) and suggest you use a hand brace. Down the road, you may need medications, injections into the joint or even surgery. Let’s begin with PT. and see how you respond to this treatment?”
Thumb arthritis causes inflammation and degeneration of cartilage within the joint. It usually occurs at the base of the thumb where the thumb contacts the wrist. This CMC joint (carpometacarpal joint) or basilar joint allows people to open jars, turn keys or use scissors comfortably.
Damage to the thumb’s supportive ligaments can cause the thumb to shift and increase the wear and tear on the joint. Osteoarthritis is more common after the age of 50 and seen more frequently in women than men.
OA is the most common form of arthritis; it wears away the smooth, healthy cartilage located between the ends of bones. Over time, the cartilage breaks down causing bone to rub against bone leading to swelling, stiffness with limited range of motion and joint pain. Excess bone formation (osteophytes-bony spurs) can appear as part of the degenerative process
The reason for thumb arthritis is little understood. A genetic predisposition is thought to be a factor. Traumatic injury to the joint can cause thumb arthritis. Work that requires repetitive stress on the thumb joint increases your risk of developing OA.
The diagnosis of OA is made by patients telling their medical story, examination of the hand by the doctor and confirmation of the diagnosis using x-rays.
The treatment options for mild to moderate symptoms, as in Sharon’s case, include applying ice and heat to the area, temporary reduction in hand activity, using a hand brace, physical therapy, anti-inflammatory medications and cortisone injections.
Severe cases of intolerable pain and extensive joint degeneration on x-ray are indications for the need of surgery. Surgery might involve cleaning out the joint (debridement), joint replacement (arthroplasty) or fusion of the joint (arthrodesis).
Thumb arthritis symptoms vary from mild to severe and as well as the degree of incapacity. An accurate diagnosis and treatment plan are crucial to a successful outcome.
References
- Richard Dias et al; Basal thumb arthritis Postgrad Med J. 2007 Jan; 83(975): 40–43.
- Carr MM1, Freiberg A. Osteoarthritis of the thumb: clinical aspects and management. Am Fam Physician. 1994 Oct; 50(5):995-1000.
- Altman, R et al; Arthritis Rheum. Criteria for classification and reporting of osteoarthritis of the hand; 1990 Nov; 33(11):1601-10.
- Anticaglia, Joseph R; Osteoarthritis and Five Risk Factors; Doctor’s Column, HC Smart, Jan 2019
This article is intended solely as a learning experience. Please consult your physician for diagnostic and treatment options.
