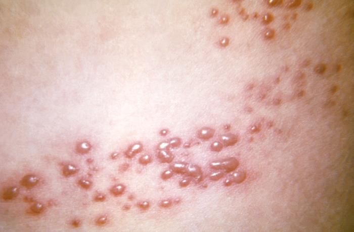
Shingles is a common viral infection that targets the skin, and nerve fibers. It causes a painful rash-blister due to the same virus that causes chickenpox (varicella-zoster virus). After a person recovers from chickenpox, the virus usually remains dormant or inactive in the body for the rest of his life; but for an unknown reason it can become reactivated later in life causing shingles. The rash typically involves one side of the body, and takes the shape of a band-like pattern.
Shingles affects people of all ages, but is particularly prevalent in in adults over the age of fifty. The disease is also more frequent in people with compromised immune systems, such as, HIV, or individuals on chemotherapy or taking certain medications.
Patrick, a 57 year old software worker, complained of being tired, and having a headache. A few days later, he complained of a tingling sensation on the left side of his chest followed by a horrible, burning, painful rash with small blisters on it. He saw his family doctor, who diagnosed, and treated Patrick for shingles.
Symptoms
The most common initial symptoms of shingles include burning, tingling or severe pain on one side of the body often involving the upper body or face. A few days later a rash appears followed by clusters of small, fluid filled blisters.
The rash and blisters are arranged in a band-like pattern along the course of the involved nerve. In about a week to ten days, the blisters scab over, and usually disappear in 2 to 4 weeks. People may also complain of being tired, headache, and less commonly fever.
Causes
The virus resides in one or more cranial, or dorsal nerves for years before it becomes activated. What causes the chickenpox virus to become reactivated is not clear; but a weakened immune system, stress, aging, or certain medications may play a role. At times, one has to distinguish shingles from poison ivy and poison oak since both cause skin inflammation, and it can happen on one side of the body, and appear red, swollen with blisters with complaints of itchiness.
Transmission
It is rare that people develop shingles more than once in their lifetime. Shingles can spread in people who have never had chickenpox, or the chickenpox vaccine by coming in direct contact with the fluid from an individual with shingles’ rash-blisters. “If they get infected,” notes the CDC, “they will develop chickenpox, not shingles. They could then develop shingles later in life.
The risk of spreading varicella-zoster virus to others is low if you cover the shingles rash. People with shingles cannot spread the virus before their rash blisters appear or after the rash crusts.”
Complications
The most common complication of shingles is long term nerve pain called postherpetic neuralgia (PHN). The pain can last for months or years in the area where the rash was originally diagnosed. Shingles is not life-threatening, but many feel as if they’ve been in hell.
“The pain can be so severe, and debilitating that it interferes with daily life. About 18% of people who get shingles will experience PHN. Shingles may lead to serious complications involving the eye including blindness;” writes the CDC.
Treatment
The treatment for shingles usually involves antiviral medications to shorten the duration of the illness and reduce the severity of symptoms. Pain-relieving medications, such as ibuprofen or acetaminophen, can also be prescribed to manage pain.
Systemic corticosteroids administered to healthy patients through the bloodstream are effective in reducing acute pain, and helping people return to a normal quality of life. In some cases, topical creams or ointments may be recommended to reduce itching and discomfort.
Prevention
To prevent spreading the virus to others, cover the rash, avoid touching or scratching the rash, and wash your hands frequently. Also, if you are older than fifty years of age, or immunocompromised, the best way to prevent shingles is to get vaccinated. It’s sensible to avoid the painful “chickenpox sequel” by getting vaccinated.
Reference
- Pragya A. Nair; Bhupendra C. Patel; Herpes Zoster; StatPearls, September 5, 2022.
- CDC; Shingles (Herpes Zoster); February 3, 2022
- Kanade Shinkai, MD, PhD, Lindy P. Fox; Dermatologic Disorders; Current Medical Diagnosis, and Treatment, 2018
- Mary A. Albrecht, Shingles, UptoDate 2022
Glossary
Varicella — Chickenpox
Herpes Zoster — Shingles
Varicella-Zoster Virus — Chickenpox virus: After a chickenpox infection, the virus remains dormant, inactive in the ganglia of the cranial nerve, or the dorsal root ganglia of the spinal nerve.
Cingulum — Shingles comes from the Latin word “cingulum” meaning belt or girdle because the rash has a belt, or band-like pattern.
This article is intended solely as a learning experience. Please consult your physician for diagnostic and treatment options.
